Barfod eller sko

Skal din hest have sko på?

​I mit arbejde,som dyrlæge med 100% fokus på hestens bevægelser, ser jeg mange forskellige problemer hos hestene. Jeg bliver tilkaldt fordi hesten har ondt i ryggen (Rygundersøgelse) , hesten er halt eller urent gående (Halthedsundersøgelse) hesten er blevet uvillig til at gå frem, hesten løber, hesten vil ikke tølte mere (Kiropraktik), hesten slår fra ved anspring, hesten får fejl i springning, hesten vil ikke fanges på fold, hestens gangarter er ikke så gode som tidligere, hesten har ændret adfærd osv. Alle disse ting kan have mange forklaringer. For flere af hestene har der været et lang forløb med nedsat præstation, dyre behandlinger og fustrationer for rytteren/træneren.

Alle de nævnte problemer og mange flere KAN skyldes ømme hove.

Hov med balleforskydning​.

​Hove både med og uden sko kan være ømme.​

For at forstå hvilke problemer der kan opstå i hestens hov er det nødvendigt at vide noget om opbygning og funktion.

Opbygning af hoven

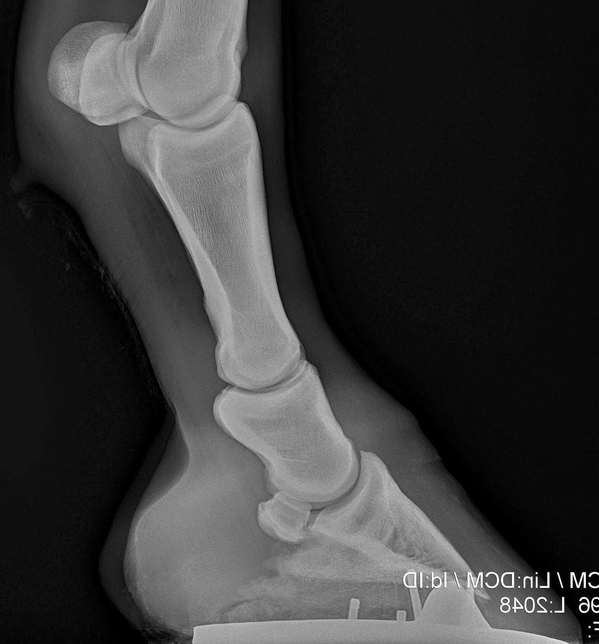
Inderst er hestens knogler. Den nederste knogle på billedet er hovbenet og det ligger inderst i hesten hov.​ I knoglen er der blodkar og nerver.

Røntgenbillede af hesten tå. Nederst ses hovbenet.​​

Her ses en hov og en hov der er skåret igennem​​.

​Yderst på hoven findes hovkapslen. Hovkapslen er det vi kan se. Den er dannet af horn og svarer til vores negl. Hovkapslen består af hornvæggen og sålen. Hovkapslen vokser hele tiden. Hornvæggen vokser primært ned fra hestens kronrand og sålen vokser ud fra væv, der ligger mellem sålen og hovbenet. Mellem hovbenet og hovkapslen er der levende væv med mange nerver. Hovbenet og hornvæggen hænger solidt sammen ved hjælp af lameller. Lamellerne laver en meget stor overflade og forankrer hovkapsel og hovben sammen.

Hov hvor hovkapslen er fjernet så lamellerne er synlige. Hovvæggen vokser primært ned fra kronranden, der ses øverst over lamellerne.​

Jeg synes det er meget facinerende at tænke på at denne konstruktion med lameller i hoven kan holde hovbenet på plads inde i hovkapslen når hesten står, går, løber og springer.

Funktion

Når hesten bevæger sig sker der en masse ting nede i hoven. Hoven er nemlig ikke bare en stiv klods. Hornvæggen er elastisk og kan udvide sig. Inde i hoven er der blødere, elastiske områder under strålen og bagtil i hoven.  De ligger mellem hovbenet og hovkapslen. Når hesten træder ned på hoven trykkes disse områder sammen. Samtidig udvider hovkapslen sig. Der sker både en ændring af form ved kronranden og ned gennem hele hornvæggen. Især den bagerste del af hoven udvider sig. Herved optages en stor mængde energi så belastningen på hoven fordeles.

Denne funktion i hoven kaldes hovmekanismen. Den er kun fuldt funktions dygtig på en velbalanceret og korrekt beskåret hov. Hovmekanismen fungerer optimalt når hesten er barfodet.

Sko?

Hvorfor så overhovedet tænke på at lægge sko på hesten?

Der kan være mange årsager til at en hest har behov for at få sko på.

Den allermest almindelige årsag til at hesten har brug for sko er at vi bruger dem!! Når vi rider, kører og longerer hestene slides hovene unormalt meget (sammenlignet med heste der går på marken). Hoven slides hele tiden mod underlaget. Når hornet på sålen slides mere end det kan nå at vokse kan hesten blive øm. Det sker for en del af vores brugsheste. Når det først er sket provokeres denne ømhed ved hvert eneste skridt hesten tager: DET GØR ONDT. Hesten vil derfor prøve at undgå at belaste hovene mere end højst nødvendigt og det kan give alle mulige former for kompensationer i hestens krop som nævnt i artiklens start.

Nogle hesteejere ved godt at deres heste er ømsålede og bruger derfor boots ved træning. Det er selvfølgelig en fordel men er problemet først til stede beskytter boots kun den ene time hesten trænes. Resten af tiden provokeres ømheden stadig for hvert skridt hesten tager.

Derfor har rigtig mange af vores brugsheste behov på at få sko på for at beskytte hovene mod det slid hestens arbejde medfører.

En del dressurryttere, der  kun rider på ridebane, tænker at så har hesten ikke brug for sko. Det kan også være rigtigt, men sandbanerne, især fiberbundene, slider faktisk også meget på hovene.

Du kan selv lave en test på om din hest er ømsålet

  1. Longer din hest i skridt og trav på en ridebane eller andet godt underlag.
  2. Longer din hest på et fast underlag som sammenkørt grus eller lignende. Longer ikke på asfalt eller fliser hvor hesten risikerer at falde.
  3. Overvej om du synes hesten går næsten lige så godt på det faste underlag som på ridebanen eller om den tripper, spænder, mister gang, falder ind i volten, halter eller andre tegn på ubehag ved at bevæge sig på det faste underlag.
  4. Overvej om DIN hest har brug for sko.

​Læs også : Hvorfor bliver min hest stiv

Bliv kontaktet af EquiMove ved at udfylde kontaktformularen

 
 
 
 
Nogle felter er ikke udfyldt korrekt

Du er velkommen til at kontakte mig for at høre mere samt bestille tid på telefon 30 68 44 94. Du kan også skrive til en e-mail til equimove@equimove.dk.​

Firma​

​​EquiMove 

v/Dyrlæge Marianne Dahl-Jensen

CVR: 34568243

Kontakt

​​Telefon: 30 68 44 94

E-mail: equimove@equimove.dk